![]()
Welcome to
No-Bone Implant Solutions Zygomatic Implants
SEE IF YOU QUALIFY
A Real OneSolution® Patient
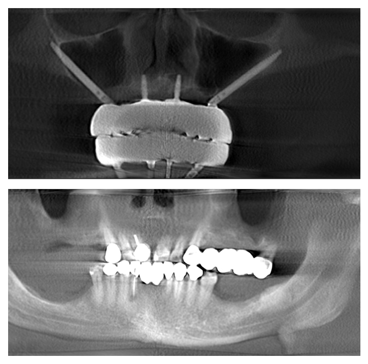
Zygomatic Implants:
A Lifeline for Patients with Severe Bone Loss
Zygomatic Implants, also known as no-bone implants, are the ultimate solution for patients who have been told they don’t have enough bone for traditional dental implants. This highly specialized procedure is designed for individuals with severe bone loss, and it requires an extraordinary level of skill and experience. At OneSolution® Dental Implant Centers, we are among the very few in the country with the expertise to perform this life-changing procedure.
Why Choose Us?
- Unmatched Expertise: Zygomatic and Pterygoid Implants are not for beginners. These procedures demand a level of precision and expertise that only comes with extensive experience. At OneSolution®, our in-house prosthodontists, oral surgeons, and Certified Registered Nurse Anesthetists (CRNAs) have performed thousands of these complex procedures. You don’t want someone learning on the job; you need a team with proven results.
- Specialized Training and Credentials: Our doctors are certified implantologists who are members of the American College of Prosthodontists and Fellows of the International Congress of Oral Implantologists, as well as Certified in Oral and Maxillofacial Surgery. This advanced level of certification and specialization sets us apart as leaders in the field of dental implants.
- In-House Multidisciplinary Team: At OneSolution®, you’re not just getting a dentist—you’re getting a team of specialists working together to provide comprehensive care. From prosthodontists and oral surgeons to anesthetists, our team collaborates to handle every aspect of your procedure with precision and care.
- Immediate Teeth Placement: One of the biggest advantages of Zygomatic and Pterygoid Implants is that they allow for same-day placement of teeth. Unlike traditional methods that can take up to a year, our no-bone implant solutions can give you a full set of permanent teeth in just a few hours. This means you walk out with a new smile on the same day as your surgery.
- Zygomatic and Pterygoid Implants: A Faster Solution: Traditional dental implant methods often require extensive bone grafting and a lengthy healing period, sometimes taking up to a year before final teeth are placed. Zygomatic and Pterygoid Implants bypass the need for bone grafts by anchoring the implants in the cheekbone and pterygoid plate, allowing for immediate loading of teeth. This not only shortens the treatment time dramatically but also provides a solution for patients who were previously told they weren’t candidates for implants due to severe bone loss.
- Convenient Locations in South Florida: We have offices throughout South Florida, so you don’t have to travel far within the state to receive top-notch care. Our team is dedicated to making your journey to a new smile as smooth as possible.
The Procedure:
OneSolution® Patient
1. Consultation and Evaluation
2. Customized Treatment Plan
3. Advanced Technology
4. Procedure Day
5. Immediate Results
6. Recovery and Follow-Up
Don’t Risk Your Health with Inexperienced Providers!
Before and After
Zygomatic Implants
Travel Assistance
We understand that traveling for a specialized procedure can be daunting. That’s why we offer assistance with travel arrangements, including accommodations and transportation. Our goal is to make your experience as seamless and stress-free as possible, from the moment you leave home to the day you return with a brand-new smile.











